Ukrayna'dan gelen Ahıska Türkü şifayı Elazığ'da buldu

Ukrayna'daki savaş bölgesinden tahliye edilerek Elazığ'a getirilen Ahıska Türkü, şifayı Fethi Sekin Şehir Hastanesinde buldu.

Ukrayna'dan gelen Ahıska Türkü şifayı Elazığ'da buldu

Ukrayna’daki savaş bölgesinden tahliye edilerek Elazığ’a getirilen Ahıska Türkü, şifayı Fethi Sekin Şehir Hastanesinde buldu.

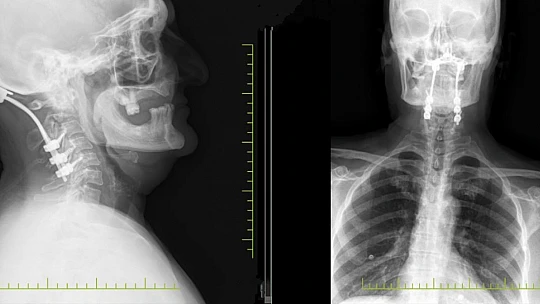
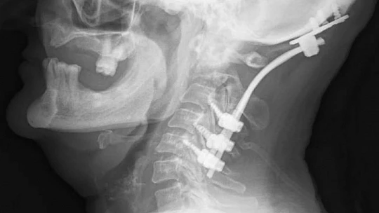
Ukrayna’da devam eden savaşta ülkede mahsur kalan Ahıska Türkleri, tahliye edilerek Elazığ’a getirilmiş ve Aşağıdemirtaş Geçici Konaklama Merkezine yerleştirilmişti. Burada yaşayan bir vatandaş, desteksiz yürüyememe ve boyun ağrıları şikayetleri ile Fethi Sekin Şehir Hastanesi Beyin Cerrahi Kliniğine müracaat etti. Hastanede ayrıntılı muayene ve tetkiklerde hastanın boynunda tümör olduğu saptandı. Beyin ve sinir cerrahisi kliniğinde başarıyla ameliyatı yapılan hasta, sağlığına kavuştu.

Beyin ve Sinir Cerrahisi Uzmanı Opr. Dr. Fatih Demir, “Boynundaki tümörün etkisiyle omurgada kırık ve açılanma gelişen hastamız ayakta durmakta güçlük çekiyor ve desteksiz yürüyemiyordu. Yaptığımız detaylı muayene ve tetkiklerle boynundaki tümörün hastadaki şikayetlere sebep olduğunu saptadık. Hastamızı ameliyat ederek baş ile boyun omurlarını sabitledik ve omuriliğe bası yapan tümörünü çıkardık. Başvurduğunda ayakta durmakta güçlük çeken ve desteksiz yürüyemeyen hastamızı yürüyerek taburcu ettik" dedi.

Ukrayna'dan gelen Ahıska Türkü şifayı Elazığ'da buldu
Ukrayna'dan gelen Ahıska Türkü şifayı Elazığ'da buldu
Ukrayna'dan gelen Ahıska Türkü şifayı Elazığ'da buldu